By using the InLab Sirona, Primo Dental Laboratory produces metal free crowns, bridges and implant restorations. Whether the impressions are scanned in the lab, with the inEos X5, or scanned intraorally, the restorations are milled with our MC X5 milling unit to the highest standard. We also use NobelProcera™ and NobelClinician™ digital workflow to help plan and execute digital planning for dental implant treatment.
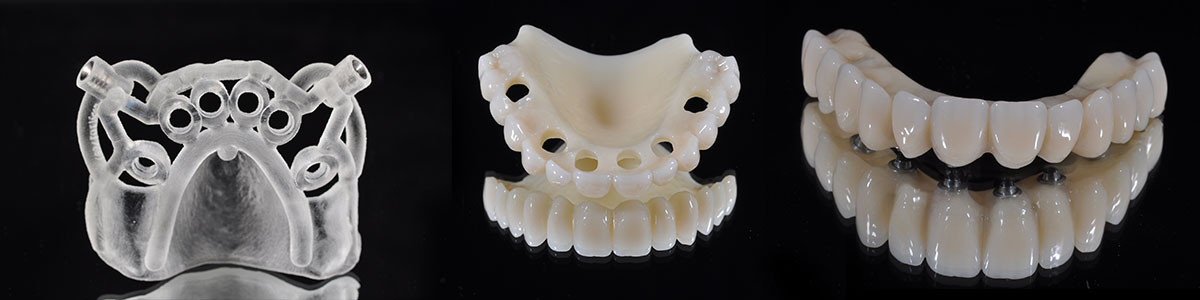
A smoother, easier, faster way of restoring a full arch. This full maxillary rehabilitation was digitally planed from the implant placement to the delivery of the final All-on-6. This was made possible by using an implant planning software to create a 3D printed guide and a prefabricated temporary restoration according to the digital planning.
Full mouth restoration using CAD/CAM technology. The crowns and bridge for this case were designed and milled in house in our digital station. By always using the latest technologies and materials available in the market we are able to always deliver great aesthetic and functional results.





